Gudang Informasi

How Do I Know If My Kidney Cancer Has Spread : Evolutionary Path Of Kidney Cancer Tracked Born To Be Bad Type Discovered Pharmafile - This process is called metastasis.

How Do I Know If My Kidney Cancer Has Spread : Evolutionary Path Of Kidney Cancer Tracked Born To Be Bad Type Discovered Pharmafile - This process is called metastasis.
How Do I Know If My Kidney Cancer Has Spread : Evolutionary Path Of Kidney Cancer Tracked Born To Be Bad Type Discovered Pharmafile - This process is called metastasis.

How Do I Know If My Kidney Cancer Has Spread : Evolutionary Path Of Kidney Cancer Tracked Born To Be Bad Type Discovered Pharmafile - This process is called metastasis.. While the only way to know for sure if you have kidney disease is to get tested, dr. The tumor is larger than 7 cm and is only located in the kidney. Kidney cancer, both primary cancer (cancer that grows from cells of the kidneys) and secondary cancer (another cancer that grows in other areas of the body can spread to the kidneys). The changes tell the cells to grow and divide rapidly. Early stage means the cancer is still completely inside the kidney.

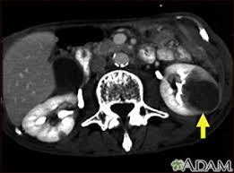
The accumulating abnormal cells form a tumor that can extend beyond the kidney. About 1/3 of patients find that the cancer has spread even without any symptoms. Lymph nodes around the kidney the main vein in the kidney (called the renal vein) the large vein in the abdomen leading to the heart (called the vena cava) Kidney cancer recurrence & survival rates. 2 doctor answers • 5 doctors weighed in.

3
3 from
I tell my patients, if you're in your 70s and have an early stage 1 kidney tumor, it's much more likely (up to five times in some studies) that you will die of something other than kidney cancer over the next five years. Kidney cancer recurrence & survival rates. The accumulating abnormal cells form a tumor that can extend beyond the kidney. Kidney tumor with suspicion of spread. Whether the cancer has spread to other areas of the body (metastasised). While the only way to know for sure if you have kidney disease is to get tested, dr. How to tell if your cancer has metastasized. Finding out the stage of the cancer helps doctors to advise on the best treatment options.

For that reason, kidney cancer is often not diagnosed until it has begun to spread.

Prostate cancer metastasis may be suspected if you have specific symptoms such as new lower back pain or elevated liver enzymes. I tell my patients, if you're in your 70s and have an early stage 1 kidney tumor, it's much more likely (up to five times in some studies) that you will die of something other than kidney cancer over the next five years. Kidney cancer, both primary cancer (cancer that grows from cells of the kidneys) and secondary cancer (another cancer that grows in other areas of the body can spread to the kidneys). 2 doctor answers • 5 doctors weighed in. Early kidney cancer (stages i and ii) is localised. Renal cell carcinoma can spread from a mass of cancer cells or tumor to other parts of your body. For that reason, kidney cancer is often not diagnosed until it has begun to spread. 3  these may be signs your cancer has spread to your spine or your liver, respectively. In general, cancerous cells can spread from a kidney to another area of the body in one of three ways: Lymph nodes around the kidney the main vein in the kidney (called the renal vein) the large vein in the abdomen leading to the heart (called the vena cava) Whether the cancer has spread to local lymph glands (nodes). N is used to identify how far the cancer. Cancer center's comprehensive kidney cancer program researcher found that 3.5% of metastatic kidney cancer patients with lung metastasis were not diagnosed as primary lung cancer tumors.

As a rule, the lower the number, the less the cancer has spread. My doctors and i have been vigilant about doing 6 month mris and unfortunately, there has been a recurrence of the kidney cancer in lymphnodes on my right side. Blood in the urine (a condition called hematuria). Thus, most people in their 70s or 80s with stage 1 kidney cancer will die with it, not of it. I tell my patients, if you're in your 70s and have an early stage 1 kidney tumor, it's much more likely (up to five times in some studies) that you will die of something other than kidney cancer over the next five years.

What Is Kidney Cancer Ikcc International Kidney Cancer Coalition
What Is Kidney Cancer Ikcc International Kidney Cancer Coalition from ikcc.org
Your doctor will note whether the cancer has spread to your lymph nodes. My nan is 82 and a week ago was diagnosed with stage 4 kidney cancer. Kidney cancer recurrence & survival rates. Many colorectal cancers are likely to have spread from the site where they first formed to other parts of the body long before the original tumor can be detected by current screening tests, new study results suggest. It has not spread to the lymph nodes or distant organs (t1, n0, m0). Once kidney cancer is found, your doctor will run tests to find out if the cancer has spread within the kidney or to other parts of the body. As a rule, the lower the number, the less the cancer has spread. My doctors and i have been vigilant about doing 6 month mris and unfortunately, there has been a recurrence of the kidney cancer in lymphnodes on my right side.

Lymph nodes around the kidney the main vein in the kidney (called the renal vein) the large vein in the abdomen leading to the heart (called the vena cava)

The stages of kidney cancer range from i (1) through iv (4). I did have a ct scan, that is how the kidney cancer was detected. To control the cancer and its consequences, it is important to know how fast kidney cancer spreads. 2 doctor answers • 5 doctors weighed in. Kidney cancer most often spreads to the lungs and bones, but it can also go to the brain, liver, ovaries, and testicles. Pain and fractures, when cancer has spread to the bone headache, seizures, or dizziness, when cancer has spread to the brain You may have been told that the kidney cancer has spread. How did the doctors know that he had stage 4 cancer without operating. In march of 2017 i had a left nephrectomy and the removal of a tumor in the inferior vena cava. How to tell if your cancer has metastasized. Joseph vassalotti, chief medical officer at the national kidney foundation. T refers to the size of the primary tumor and if it has invaded surrounding tissue. It has not spread to the lymph nodes or distant organs (t1, n0, m0).

The changes tell the cells to grow and divide rapidly. A higher number, such as stage iv, means cancer has spread more. This could be to lymph nodes, the lungs, liver, bone, or even the vena cava — the largest vein in your body. Kidney cancer recurrence & survival rates. The tumor is 7 cm or smaller and is only located in the kidney.

Kidney Cancer Parkway Cancer Centre Bangladesh
Kidney Cancer Parkway Cancer Centre Bangladesh from www.parkwaycancercentre.com
Pain and fractures, when cancer has spread to the bone headache, seizures, or dizziness, when cancer has spread to the brain If the cancer starts to grow quickly or cause symptoms then active treatments will be recommended. In general, cancerous cells can spread from a kidney to another area of the body in one of three ways: Some cells can break off and spread (metastasize) to distant parts of the body. Prostate cancer metastasis may be suspected if you have specific symptoms such as new lower back pain or elevated liver enzymes. It has not spread to the lymph nodes or distant organs (t1, n0, m0). My nan is 82 and a week ago was diagnosed with stage 4 kidney cancer. The tumor is larger than 7 cm and is only located in the kidney.

This could be to lymph nodes, the lungs, liver, bone, or even the vena cava — the largest vein in your body.

If kidney cancer spreads, it can spread to the following: You may have been told that the kidney cancer has spread. In march of 2017 i had a left nephrectomy and the removal of a tumor in the inferior vena cava. My doctors and i have been vigilant about doing 6 month mris and unfortunately, there has been a recurrence of the kidney cancer in lymphnodes on my right side. How do i know if my kidney cancer has spread to other organs? Kidney tumor with suspicion of spread. And within a stage, an earlier letter (or number) means a lower stage. Kidney cancer recurrence & survival rates. Whether the cancer has spread to other areas of the body (metastasised). N is used to identify how far the cancer. It occurs in one of three ways: Vassalotti shares 10 possible signs you may have kidney disease. Early kidney cancer (stages i and ii) is localised.

Advertisement